ATH5500-17短波紅外顯微高光譜成像儀
|
短波紅外顯微高光譜成像儀 |
ATH5500-17 |
總體描述
ATH5500-17是奧譜天成推出的一款體積小、高清、高質量的顯微高光譜成像儀,由高倍數顯微鏡、高光譜成像儀、數據處理工作站等組成。
ATH5500-17的高光譜采用1920X1080像素(最高2048×2048像素)的高性能CCD成像器件,成像清晰、噪點少;內部集成了獨創的高壓縮比圖像壓縮算法,使得存儲續航時間得到極大地提升,可以達到3小時以上,完全滿足無人機的需要;
ATH5500-17成像光譜技術對樣本進行光譜成像,具有快速、準確、光譜分辨率高、空間分辨率高及通用性強等特點,可進行醫學、病理學、制藥以及生命科學等方面的研究,可作為醫療機構、科研機構、醫學院校、制藥企業的實驗研究設備。
|
型號 |
特征 |
|
ATH5500-17 |
正置型 |
|
ATH5500INV-17 |
倒置型 |
|
ATH5500OPN-17 |
開放式 |
特征:
l 波段范圍:1000~1700nm
l 高光譜分辨率:<35 nm
l 定制版紅外高透過率顯微系統;
l 物鏡倍數:
n 標配:4X、10X、20X;
n 選配:40X、100X
l 500萬像素高清攝像頭
l 高穩定高藍紅外光源燈;
l 高亮度LED照明
應用領域:
l 醫療機構:癌組織篩查、血細胞分類;
l 科研機構、大專院校
l 制藥企業:中藥材的防偽
l 食品安全:肉源鑒定;
l 微塑料的鑒別
l 礦物質的篩查
l 司法鑒定:文檢鑒定
l 生物學:細菌、細胞分析
l 半導體檢測
l 材料學:材料微觀檢測



ATH5500-17系列顯微高光譜成像儀;(a) ATH5500INV-17;(b)ATH5500INV-17;(c) ATH5500-17


圖1 ATH5500INV-17倒置型醫用顯微成像光譜儀結構圖及其光路示意圖
圖 1所示是醫用顯微成像光譜儀的原理示意圖,手術臺上的待測目標經物鏡、顯微透鏡組后分為三路,一路供主刀醫生目視觀測,一路供助手輔助目視觀測,一路由成像光譜儀探測接收,成像光譜儀由電機帶動對待測目標進行空間維掃描,得到待測目標的成像光譜信息,再經數據分析圖像處理后,通過顯示器顯示給醫生。
2. 配件清單:
|
序號 |
物品 |
數量 |
選配 |
|
1 |
顯微高光譜成像儀(1000-1700 nm)主機 |
1臺 |
標配 |
|
2 |
物鏡3件 |
1 |
標配 |
|
3 |
高藍穩流鹵素燈 |
4 個 |
標配 |
|
4 |
標準校準板 |
1 塊 |
標配 |
3. 顯微高光譜的應用案例
3.1. 顯微高光譜在腫瘤組織檢測的應用
醫學高光譜圖像將二維空間圖片與一維光譜信號合并為一個三維數據立方體。結合光譜和成像技術,醫學高光譜圖像的本質是反映材料以及在分子級別的電磁波下如何吸收和反射光線。它不僅包括豐富的空間信息,更包含許多稱之為光譜特征的連續窄波段,這樣能夠準確地區分不同的血細胞。目前,醫學高光譜成像技術已應用于舌腫瘤、腸道缺血及癌癥、出血性休克、醫療食品安全以及其它診斷學的檢測。

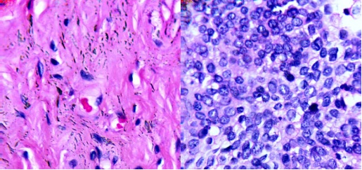
圖2 (a)100X宮頸癌非腫瘤切片 (b)100X宮頸癌腫瘤切片

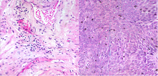
圖3 左邊:40X膀胱癌非腫瘤切片;右邊:40X膀胱癌腫瘤切片

圖4 腫瘤組織和非腫瘤組織的光譜圖

圖5 醫用顯微成像光譜儀數據
膽管癌是一類相對罕見但惡性程度極高的腫瘤。由于早期癥狀不明顯,患者發現時往往已錯過最佳治療時機。病理診斷作為膽管癌確診的“金標準”,主要由具有經驗的醫師對病理切片進行繁瑣且費時的鏡檢,在此過程中,可能由于醫師閱片經驗不足或評判標準不一產生誤診或漏診。高光譜成像技術作為一門新興技術,可以同時獲取待采集樣本的空間和光譜信息。華東師范大學段依潘等人做了比較深的研究。

圖6 華東師范大學段依潘等人用顯微高光譜對膽管癌組織的識別結果
(a)偽彩色合成圖 (b)對應圖像的手工標注圖 (c)對應圖像的3D-Res-CNN 區域識別結果
3.2. 顯微高光譜在血細胞檢測的應用
血細胞分類在診斷學中作用巨大。例如,細胞譜相的識別與某個特定的疾病相關聯,以及白細胞的計數已被證明與多種疾病相關聯,包括肥胖、吸煙、過敏性哮喘等。最初,血細胞分類與計數在顯微鏡下手工進行,這樣不僅費時,而且錯誤率較高。自動血細胞分類能在數字顯微成像技術下實現。由于不同類型的血細胞形狀相似,細胞分類的準確性和特異性仍然對傳統的顯微成像技術造成挑戰。醫學高光譜圖像將二維空間圖片與一維光譜信號合并為一個三維數據立方體。結合光譜和成像技術,醫學高光譜圖像的本質是反映材料以及在分子級別的電磁波下如何吸收和反射光線。它不僅包括豐富的空間信息,更包含許多稱之為光譜特征的連續窄波段,這樣能夠準確地區分不同的血細胞。目前,醫學高光譜成像技術已應用于舌腫瘤、腸道缺血及癌癥、出血性休克、醫療食品安全以及其它診斷學的檢測。

圖7 醫學高光譜圖像數據庫的不同波長的波段

圖8 (a)背景、白細胞和紅細胞偽彩色圖像;(b)實際分布圖
3.3. 顯微高光譜在中藥材檢測的應用

圖9 左邊:鮮當歸冷凍切片(40X物鏡);右邊:黃芪脫蠟切片(40X物鏡)
3.4. 顯微高光譜在木材樹種分類的應用
在木材貿易活動中,對木材樹種的識別、樹種等級的判定等歷來是一項較為艱辛而又需要實際操作經驗的工作,不同樹種的木材其木材材性、物理性能及價格差別很大。高光譜成像擁有波段多、分辨率高和圖譜合一的優點,集光譜維信息和空間維信息于一體,已經在遠程遙感分類領域和樣本組織成分檢測領域得到應用。東北林業大學趙鵬等人利用顯微高光譜,采用支持向量機復合核函數算法,分類準確率達到95%左右。

圖10 木材體視顯微高光譜成像系統;
( a ):高光譜成像系統;( b ):采集的木材顯微高光譜圖像立方體(木材樹種是印尼菠蘿格)

圖11 20種木材樹種樣本的平均光譜曲線
3.5. 顯微高光譜在LED二維結溫檢測的應用
隨著LED的迅速發展,其熱學管理問題一直是研宄的重點,LED器件工作時溫度最高的部分是P-N結,過高的結溫會嚴重影響LED的性能,甚至對LED造成毀壞。由于LED的表面通常被封裝覆蓋,因而測溫只能采用非接觸的手段實現。
廈門大學呂毅君課題組,創新性地采用顯微高光譜進行LED二維結溫掃描檢測,顯微高光譜可以在不改變LED自身工作狀態的前提下實現非接觸式測量。通過入射光照射待測樣品,并對反射光進行收集,無需直接接觸待測LED樣品即可完成測試,對于表面積小且芯片結構較為脆弱的LED裸芯片來說,直接接觸易損壞芯片,本方法避免了這一危險,并且可以對具有透明封裝的芯片進行結溫測試。



圖12 廈門大學呂毅君課題組測的LED二維結溫數據(500mA時的溫度分布情況)
2.5微米分辨率板(40X物鏡)
4. 奧譜天成其他高光譜產品
|
ATH1500系列型號 |
特征 |
|
ATH1500 |
400-1000nm可見近紅外高光譜成像儀 |
|
ATH1500-17 |
1.0~1.7μm短波紅外高光譜成像儀 |
|
ATH1500-25 |
1.2~2.5μm短波紅外高光譜成像儀 |
|
ATH1500-50 |
2.5~5.0μm中波紅外高光譜成像儀 |
|
ATH1500-12-50 |
1.2~5.0μm短波中波紅外高光譜成像儀 |
|
ATH1500-04-17 |
0.4~1.7μm可見近紅外短波紅外高光譜成像儀 |


圖13 左邊:ATH1500型可見近紅外高光譜成像儀;右邊ATH1500-17短波紅外高光譜成像儀


圖14 ATH9010/11/12無人機載高光譜成像系統


圖15 地面飛航控制系統及無人機載系統


圖16 無人機載高光譜成像系統飛行實驗(地點:廈門市集美區軟件園三期)

圖17 ATH1010轉掃高光譜成像儀



圖18 ATH8010型平掃型高光譜成像儀
